15:21 - 03/08/2020
Viêm nội mạc tim và Hội chứng viêm đa hệ sau COVID-19
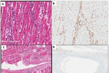
TNNN - Xác định viêm nội mạc tim và bệnh lý vi mạch là các đặc điểm chính của sinh lý bệnh virus corona nghiêm trọng 2019 (COVID-19).
TNNN - Xác định viêm nội mạc tim và bệnh lý vi mạch là các đặc điểm chính của sinh lý bệnh virus corona nghiêm trọng 2019 (COVID-19).