12:16 - 24/09/2020
Liệu pháp ánh sáng, hy vọng mới cho bệnh nhân Parkinson
TNNN - Liệu pháp ánh sáng có thể giúp cải thiện tâm trạng, chữa lành vết thương và tăng cường hệ miễn dịch. Giờ đây, các nhà khoa học đang tìm hiểu...
TNNN - Liệu pháp ánh sáng có thể giúp cải thiện tâm trạng, chữa lành vết thương và tăng cường hệ miễn dịch. Giờ đây, các nhà khoa học đang tìm hiểu...
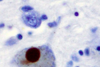
TNNN - Các nhà nghiên cứu đang cố gắng tìm hiểu các cơ chế phân tử đằng sau cách thức α-synuclein góp phần vào sự thoái hóa của các tế bào thần kinh.
TNNN - Nghiên cứu của Watts nhằm phát triển mô hình thử nghiệm cho các loại thuốc phản ánh tốt hơn sự phức tạp và tính biến đổi của cơ thể con người.
Các nhà khoa học tại Bệnh viện trường Đại học Northwestern đã phát triển và thử nghiệm một phương thức điều trị mới cho bệnh Parkinson bằng cách hạn...
Một nghiên cứu mới từ Thụy Điển cho thấy mối liên hệ giữa việc tiêu thụ cá và sức khỏe thần kinh có thể liên quan đến protein parvalbumin.