Sử dụng ánh sáng, tế bào hồng cầu và Peptide của ong mật để cung cấp protein trị liệu
TNNN - Các nhà nghiên cứu đã thiết kế các chất mang tế bào hồng cầu giải phóng các protein trị liệu khi được ánh sáng kích thích , dưới sự hỗ trợ của một peptide ong mật
Các liệu pháp điều trị protein thường có hiệu quả và chọn lọc hướng tới các mục tiêu sinh hóa của chúng hơn các loại thuốc khác, đặc biệt là các phân tử nhỏ. Tuy nhiên, protein cũng có nhiều khả năng nhanh chóng bị phân hủy do các enzym hoặc bị thận đào thải ra khỏi máu, điều này khiến hạn chế sử dụng chúng trên lâm sàng. Giờ đây, các nhà nghiên cứu báo cáo trên tạp chí ACS Central Science về việc thiết kế các chất mang tế bào hồng cầu (RBC) để giải phóng các protein trị liệu khi được ánh sáng kích thích, dưới sự tương tác của peptide ong mật.
Do thuốc protein không ổn định trong cơ thể nên phải truyền với hàm lượng cao, dễ gây tác dụng phụ. Các nhà khoa học đã cố gắng bảo vệ các liệu pháp protein khỏi sự suy thoái bằng cách bao bọc chúng trong các chất mang, chẳng hạn như liposome, hạt nano và RBCs. Nhưng việc bắt các hãng vận chuyển bốc dỡ hàng hóa của họ tại địa điểm và thời gian thích hợp là một thách thức. Brianna Vickerman, David Lawrence và các đồng nghiệp mong muốn thiết kế RBCs để giải phóng các protein trị liệu tại các vùng cụ thể của cơ thể khi được các bước sóng ánh sáng nhất định kích hoạt.
Các nhà nghiên cứu đã nhúng một peptide, được gọi là melittin, vào màng tế bào của RBC. Một thành phần của nọc ong mật châu Âu, melittin thường khiến các tế bào hồng cầu bị vỡ. Nhưng nhóm nghiên cứu đã sửa đổi peptit để nó chỉ hoạt động khi được chiếu sáng của một bước sóng ánh sáng cụ thể.
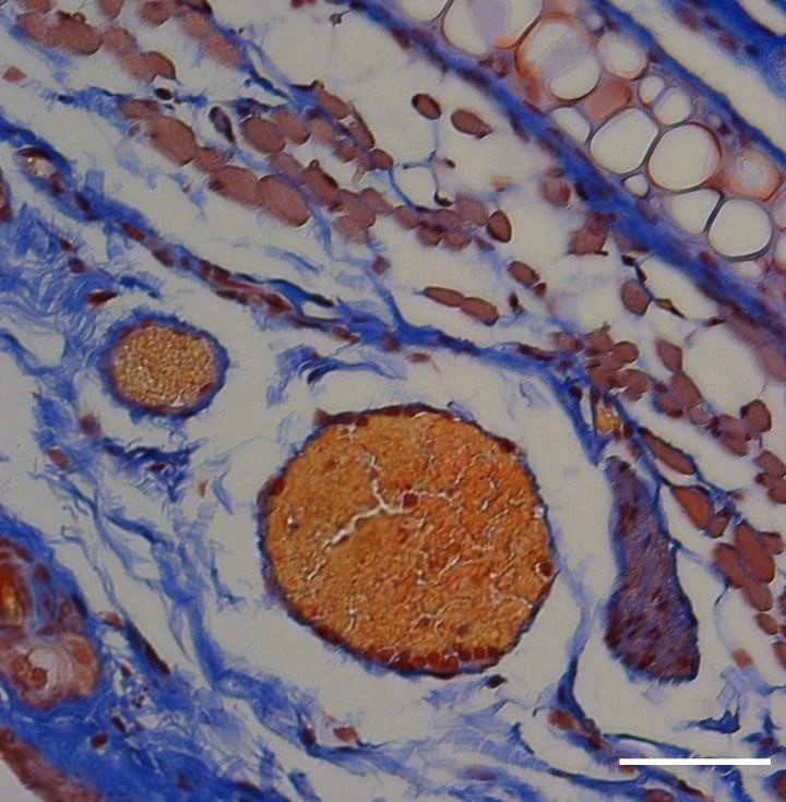
Như một bằng chứng về khái niệm, các nhà nghiên cứu đã nạp thrombin - một loại enzym đông máu được sử dụng để ngăn chảy máu quá mức - vào các RBC đã được thiết kế và tiêm chúng vào chuột. Sau đó, họ chiếu ánh sáng vào một vùng nhỏ trên tai của mỗi con chuột và kiểm tra các phần của mô. Phân tích cho thấy sự đông máu liên quan đến thrombin chỉ ở các vị trí được chiếu sáng. Các nhà nghiên cứu nói rằng chiến lược này có thể hữu ích cho việc giải phóng protein, peptit và axit nucleic được kích hoạt bằng ánh sáng từ nhiều chất mang gốc lipid.
Đỗ Quyên dịch
Nguồn: Lab Manager – Hoa Kỳ
Thiết kế pin mới giúp giảm nguy cơ cháy nổ
JASIS 2025 – Triển lãm thiết bị khoa học và phân tích hàng đầu châu Á
Cấp thiết sửa đổi quy chuẩn kỹ thuật quốc gia cho sản phẩm sữa chế biến
Kiểm tra, xác nhận giá trị sử dụng phương pháp; ước lượng độ không đảm bảo đo lĩnh vực sinh học
Đảm bảo chất lượng kết quả thử nghiệm
Nhận thức chung ISO/IEC 17025:2017 và đánh giá nội bộ
Xác nhận giá trị sử dụng phương pháp thử trong phân tích hóa học
Triệt để tránh tình trạng “dễ làm, khó bỏ” trong nghiên cứu khoa học
Báo động: Vi nhựa xâm nhập não người với tốc độ nhanh
Hiệu ứng nhà kính và các giải pháp từ tiêu chuẩn