Đường có thể là chìa khóa để xét nghiệm ung thư tuyến tiền liệt sớm hơn, chính xác hơn
TNNN - Một loại xét nghiệm mới sử dụng đường để phát hiện ung thư tuyến tiền liệt sớm hơn và với độ chính xác cao hơn đang được phát triển bởi các nhà nghiên cứu tại Đại học Birmingham.
- VinaLAB tham dự JASIS 2018 tại Nhật Bản
- Thuốc nhỏ mắt mới có thể phòng ngừa nguyên nhân phổ biến gây mù lòa.
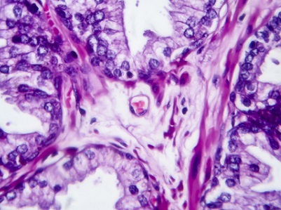
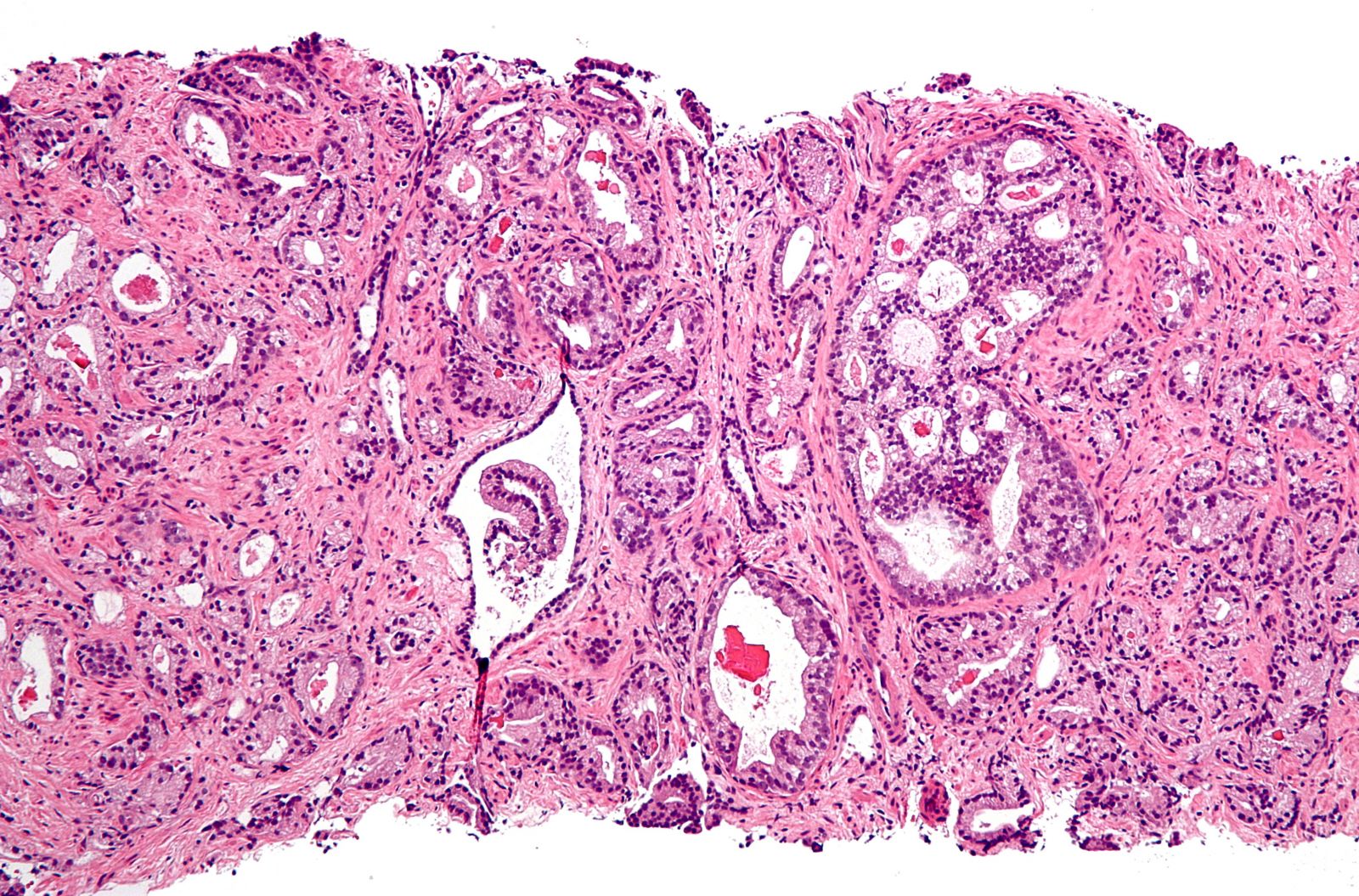
Thử nghiệm bằng cách xác định đường, được gọi là glycans trong máu. Những loại đường này được gắn vào các phân tử protein gọi là PSA và trải qua những thay đổi khác biệt khi tế bào ung thư có trong cơ thể. Các loại glycans đặc biệt có liên quan đến các loại ung thư khác nhau nhưng cho đến nay, không có công nghệ nào có sẵn để phát hiện glycans một cách chính xác, kịp thời và đủ cụ thể.
Nghiên cứu do một nhóm trong Khoa Kỹ thuật Hóa học của Đại học Birmingham dẫn đầu, đã phát triển một kỹ thuật có thể xác định glycans liên quan đến ung thư với độ chính xác chưa từng có.
Công nghệ này đã được Đại học Birmingham Enterprise cấp bằng sáng chế. Nó hoạt động bằng cách sử dụng vật liệu carbohydrate tổng hợp để tạo ra khuôn của glycan cụ thể. Các thụ thể này sau đó được cố định ở vị trí trên một bề mặt để chúng liên kết với glycan đó nhưng không liên kết với bất kỳ loại nào khác.
"Điều thực sự thú vị về kỹ thuật này là khả năng xác định glycans có tính đặc hiệu như vậy. Một phân tử PSA có thể có 56 loại đường khác nhau được gắn vào nó, nhưng chỉ có bốn loại có liên quan đến ung thư tuyến tiền liệt. Có thể xác định bốn người đó một cách chắc chắn“, Paula Mendes, Giáo sư tại Đại học Birmingham nói.
Số lượng glycans được xác định theo cách này sẽ cho thấy ung thư còn có thể tiến triển nặng đến mức nào. Nhóm nghiên cứu dự kiến sẽ bắt đầu áp dụng kỹ thuật này vào các mẫu lâm sàng trong phòng thí nghiệm vào cuối năm nay.
Một xét nghiệm mới về ung thư tuyến tiền liệt là rất cần thiết bởi vì các xét nghiệm hiện tại chỉ có thể đưa ra dấu hiệu tăng PSA trong mẫu máu. Điều này có thể cho kết quả dương tính giả trong khoảng 50% trường hợp, là do mức PSA của một người đàn ông có thể tăng lên vì một số lý do khác nhau, không nhất thiết liên quan đến ung thư. Ngoài ra, khoảng 25% nam giới bị ung thư tuyến tiền liệt không có PSA tăng cao, vì vậy xét nghiệm không chẩn đoán được những bệnh nhân này.
"Nhiều bệnh nhân trải qua xét nghiệm PSA được chẩn đoán sai, khiến họ được gửi đi xét nghiệm sâu hơn và điều này gây ra nhiều căng thẳng cho bệnh nhân, cũng như rất tốn kém cho các dịch vụ y tế. Tuy nhiên, bằng cách đo glycans, chúng tôi có thể đưa ra các chẩn đoán chính xác hơn nhiều, không chỉ phát hiện ung thư ở giai đoạn sớm mà còn xác định mức độ xâm lấn của nó", Mendes chia sẻ.
Nhóm nghiên cứu cũng hy vọng có thể áp dụng công nghệ này để phát hiện các bệnh ung thư khác và đã bắt đầu phát triển thử nghiệm cho bệnh ung thư buồng trứng. "Ung thư buồng trứng thường được phát hiện ở giai đoạn rất muộn, khi các lựa chọn điều trị rất hạn chế, và vì vậy tỷ lệ sống sót rất thấp", Mendes giải thích. "Bởi vì xét nghiệm của chúng tôi rất cụ thể, nên có thể áp dụng nó cho một số loại ung thư khác nhau".
"Chẩn đoán sớm và chính xác ung thư tuyến tiền liệt rất quan trọng cho nhiều nam giới bị ung thư, đặc biệt là giảm tác dụng phụ do điều trị quá mức. Trong khi PSA có thể là một xét nghiệm hữu ích, thường làm những người không bị ung thư tuyến tiền liệt cảm thấy phấn chấn hơn, nhưng nó sẽ không có nhiều thông tin về căn bệnh có thể phát triển như thế nào“, David Montgomery, Giám đốc Nghiên cứu của Prostate Cancer UK cho biết. "Mặc dù ở giai đoạn đầu nhưng nghiên cứu về đường có thể giúp PSA trở thành một cách cụ thể và chính xác hơn không chỉ để chẩn đoán ung thư tuyến tiền liệt, mà còn cho biết ai cần điều trị khẩn cấp và ai bị ung thư ít xâm lấn hơn và có thể theo dõi một cách an toàn”.
Những gì chúng ta cần bây giờ là nghiên cứu tuyệt vời này có thể tiếp tục được phát triển sau đại dịch Covid-19. Khi các phòng thí nghiệm đóng cửa và phần lớn nghiên cứu đi vào bế tắc, Prostate Cancer UK hiện đang thỉnh cầu sự quyên góp, tài trợ cho nghiên cứu này để giúp nhiều người đàn ông đang bị ung thư tuyến tiền liệt.
Hoàng Nam dịch
Theo Laboratory Equipment
Thiết kế pin mới giúp giảm nguy cơ cháy nổ
JASIS 2025 – Triển lãm thiết bị khoa học và phân tích hàng đầu châu Á
Cấp thiết sửa đổi quy chuẩn kỹ thuật quốc gia cho sản phẩm sữa chế biến
Kiểm tra, xác nhận giá trị sử dụng phương pháp; ước lượng độ không đảm bảo đo lĩnh vực sinh học
Đảm bảo chất lượng kết quả thử nghiệm
Nhận thức chung ISO/IEC 17025:2017 và đánh giá nội bộ
Xác nhận giá trị sử dụng phương pháp thử trong phân tích hóa học
Triệt để tránh tình trạng “dễ làm, khó bỏ” trong nghiên cứu khoa học
Báo động: Vi nhựa xâm nhập não người với tốc độ nhanh
Hiệu ứng nhà kính và các giải pháp từ tiêu chuẩn