Công bố báo cáo khoa học về COVID-Net, mạng thần kinh nhân tạo có thể phát hiện dấu hiệu Covid-19 trong ảnh X-quang chụp phổi
TNNN - Đây là tài liệu giúp các nhà khoa học trên toàn thế giới có thể chung tay giúp phát triển COVID-Net.
- Vì sao đến nay mới nghiên cứu vaccine ngừa virus corona cho người?
- Ứng dụng công nghệ nano vào sản phẩm phòng, chống dịch Covid-19
Hồi đầu tuần, bản báo cáo khoa học mở về hệ thống chẩn đoán Covid-19, mang tên COVID-Net, mới được đăng tải trên arXiv.org. Những người đứng sau nó mong giúp được các nhà nghiên cứu khác trên thế giới và muốn họ cũng chung tay phát triển công cụ trí tuệ nhân tạo giúp xác định bệnh dễ dàng hơn.
COVID-Net là một mạng neural nếp nhăn (ý nói hệ thống AI này có cả "nếp nhăn não"), một công cụ AI rất giỏi trong việc nhận dạng hình ảnh, được phát triển bởi hai nhà khoa học Lingda Wang và Alexander Wong tới từ Đại học Waterloo, cộng thêm sự trợ giúp của công ty DarwinAI của Canada.
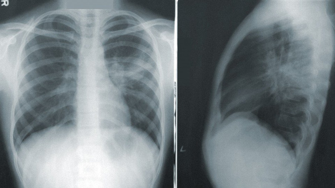
COVID-Net được huấn luyện để phát hiện dấu hiệu bệnh Covid-19 trong hình ảnh chụp x-quang phổi. Cơ sở dữ liệu cho COVID-Net là 5.941 hình ảnh lấy từ 2.839 bệnh nhân với nhiều bệnh phổi khác nhau, từ nhiễm khuẩn, nhiễm virus cho tới nhiễm Covid-19. Bộ dữ liệu này đi kèm luôn với báo cáo khoa học về các khía cạnh kỹ thuật của COVID-Net, để bất kỳ ai có khả năng cũng có thể thử nghiên cứu và góp công xây dựng hệ thống.
Tuy nhiên, trong tình cảnh hiện tại, ta không thể dựa dẫm vào các hệ thống AI chẩn đoán bệnh, vì đa số chúng chưa được chuyên gia kiểm chứng. Một vài nhóm nghiên cứu đã công bố hệ thống mình làm được, thế nhưng chưa tung ra báo cáo khoa học nên chưa rõ độ chính xác của các thiết bị này.
DarwinAI nhấn mạnh rằng COVID-Net là một hệ thống chưa sẵn sàng, đồng thời khuyến khích bất kỳ ai có khả năng hãy chung tay biến nó thành thiết bị chẩn đoán chính xác. Trong quá khứ, đã có những dự án tương tự thành công với chiến lược mở toàn bộ tài liệu cho cả cộng đồng cùng nghiên cứu (như ImageNet và AlexNet), ta có thể mong đợi nhiều điều từ COVID-Net.
Theo GenK
Ấn tượng Lễ trao giải Cuộc thi vẽ tranh “Bảo vệ môi trường trong học đường – Sân trường mơ ước của em”
“Thắp lửa trái tim” – Lan tỏa yêu thương, gần 700 triệu đồng gửi về vùng cao
Phát động Cuộc thi vẽ tranh Bảo vệ môi trường trong học đường lần thứ II
Gần 750 bác sĩ nhận bằng tốt nghiệp
Văn phòng AOSC phối hợp cùng QUATEST 3 và Vinatest thực hiện chuyên đề giới thiệu ISO 15189
Trung tâm Đo lường – Nhà máy Z176: Không ngừng hoàn thiện hệ thống quản lý theo tiêu chuẩn ISO/IEC 17025:2017
Gần 1.000 bài viết tham dự cuộc thi “Vượt lên số phận” lần thứ VII
Sắp diễn ra giải bóng đá "Báo chí đồng hành cùng doanh nghiệp"
Lan toả chương trình trồng cây "Đường xanh" đến cộng đồng
Đã có gần 18.000 người tham gia Chiến dịch "Triệu bước chân nhân ái"