Các nhà khoa học vừa phát hiện hai loài sinh vật đầu tiên ăn virus, và điều đó có ý nghĩa cực kỳ quan trọng
TNNN - Virus không chỉ lây nhiễm sinh vật, chúng cũng có thể bị sinh vật khác ăn như một nguồn thực phẩm.
Virus từ lâu đã làm đau đầu các nhà sinh học – không phải chỉ vì chúng gây bệnh cho con người mà còn vì sự tồn tại của chúng không nằm trong những quy luật tự nhiên thông thường.
Virus không thể được xếp vào bất kỳ nhóm sinh vật nào, từ vi khuẩn cổ đại, vi khuẩn cho đến sinh vật nhân chuẩn bao gồm thực vật, động vật và nấm. Chúng thậm chí không có hình thái của sự sống, không phải một tế bào hoàn chỉnh và không thể tự sinh sản.
Một vấn đề khác khiến các nhà khoa học khó giải thích là họ thấy virus biệt tăm khỏi chuỗi thức ăn - bất chấp một thực tế là chúng trôi nổi khắp mọi cảnh quan hành tinh của chúng ta. Virus có trong khí quyển, trong lòng đại dương, chúng đóng gói hàng chục triệu tấn carbon nhưng không một loài sinh vật nào ăn chúng để lấy năng lượng?
Bí ẩn này bây giờ mới được một nghiên cứu trên tạp chí Frontiers in Microbiology giải quyết khi lần đầu tiên, các nhà khoa học tìm thấy hai loài sinh vật đơn bào ăn virus, những sinh vật đầu tiên có thể được xếp vào nhóm "virophage" - "hay sinh vật ăn virus" một nhóm loài hoàn toàn mới.
Một đứa trẻ bẩn tay bên hộp OREO rỗng ruột
Ăn hoặc bị ăn: Đó là một quy luật tự nhiên của mọi loài sinh vật trên Trái Đất. Chuỗi thức ăn là thứ mà Mẹ Thiên Nhiên dùng để kết nối mọi ngóc ngách của sinh quyển trong một mạng lưới trải dài từ sinh vật sản xuất, sinh vật tiêu dùng cho đến các loài ăn bám và rỉa xác thối.
Virus bây giờ cũng không thể thoát khỏi quy luật đó. Trong nghiên cứu mới, các nhà khoa học tại Phòng thí nghiệm Bigelow về Khoa học Đại dương đã phát hiện ra hai loài sinh vật đơn bào ăn virus ở vịnh Maine ngoài khơi bờ biển Bắc Mỹ.
Đây là những sinh vật virophage đầu tiên được phát hiện, lấp đầy một khoảng trống trong chuỗi thức ăn vẫn bị bỏ ngỏ cho virus.
Trước đây, chúng ta biết virus có thể phát triển để cạnh tranh với các virus khác bằng cách cướp đi các khối xây dựng hữu cơ của chúng. Nhưng cho đến trước nay, các nhà khoa học chưa thể tìm thấy bất kỳ một loài sinh vật nào hấp thụ và tiêu hóa các hạt virus để lấy năng lượng hoặc các chất dinh dưỡng nguyên tố của chúng.
Trong cuộc cuộc đi tìm loài sinh vật bí ẩn ấy, các nhà khoa học đã sàng lọc gần 1.700 tế bào sinh vật phù du thu thập được từ các vùng nước của vịnh Maine và biển Địa Trung Hải. Họ khuếch đại DNA bên trong mỗi tế bào của chúng để tạo ra các thư viện bộ gen riêng biệt.
Kết quả cho thấy phần lớn các gen trong sinh vật phù du thuộc về chính bản thân chúng. Khoảng một nửa số sinh vật phù du ở Địa Trung Hải chứa các chuỗi gen thuộc về vi khuẩn, một minh chứng cho chúng đã ăn vi khuẩn. Con số của sinh vật phù du sống ở Vịnh Maine là 19%.
Tiếp tục quá trình sàng lọc gen, các nhà khoa học tìm thấy các chuỗi di truyền thuộc về virus. Trong mẫu ở Vịnh Maine, một nửa thư viện gen xuất hiện các mẫu vật chất di truyền đến từ 50 chủng virus khác nhau trở lên. Trong mẫu Địa Trung Hải, nó gần bằng một phần ba số mẫu.
Hầu hết các chuỗi virus dường như là từ các vi khuẩn – chúng là mầm bệnh xâm nhập và nhân lên bên trong tế bào vi khuẩn. Vi khuẩn là nguồn thức ăn phổ biến của động vật nguyên sinh biển, vì vậy việc phát hiện bữa tối của chúng bị nhiễm bệnh trước không có gì ngạc nhiên.
Các mẫu vi sinh vật thu thập từ vịnh Maine
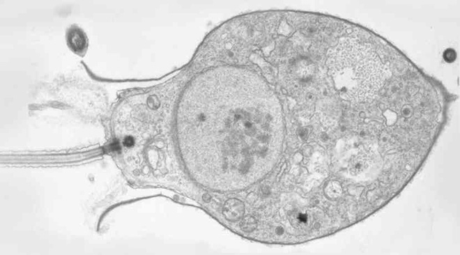
Nhưng hai loài sinh vật phù du thuộc nhóm được gọi là choanozoan và picozoan khiến các nhà khoa học hết sức ngạc nhiên. Họ không hề thấy bất kỳ chuỗi di truyền thuộc về vi khuẩn nào trong bộ gen của chúng, trong khi chúng lại có các chuỗi di truyền của virus.
Các nhà khoa học cũng loại trừ được khả năng những sinh vật này bị nhiễm virus như một mầm bệnh vì hai ngành hoàn toàn khác nhau của động vật nguyên sinh chia sẻ các trình tự virus gần giống nhau.
Điều này dẫn họ đến một bằng chứng gần nhất về những loài sinh vật đơn bào ăn virus đầu tiên được phát hiện. "Virus rất giàu phốt pho và nitơ, và có thể là một chất bổ sung tốt cho chế độ ăn giàu carbon", nhà sinh học Julia Brown từ Phòng thí nghiệm Bigelow về Khoa học Đại dương cho biết.
Việc phát hiện ra dấu vết của virus trong choanozoan và picozoan được so sánh với những mẩu vụn đen trên tay một đứa trẻ bên cạnh hộp bánh OREO đã rỗng ruột. Bất cứ ai đi được đến phát hiện này đều sẽ cho rằng đứa trẻ đã ăn bánh.
Carbon sẽ được đẩy lên trên trong chuỗi sự sống
Đối với người picozoan, khám phá này có thể giúp giải đáp bí ẩn về sự sinh tồn của chúng, một sinh vật cực nhỏ chỉ có chiều dài vài micromet. Được phát hiện cách đây hơn một thập kỷ, các nhà nghiên cứu đã cố gắng tìm ra vị trí của chúng trong cây sự sống nhưng không thành công.
Đối với các sinh vật còn lại, việc phát hiện ra hai loài sinh vật ăn virus có ý nghĩa quan trọng đối với chuỗi carbon trong cây sự sống của muôn loài, đặc biệt là các sinh vật biển.
Phòng thí nghiệm Bigelow về Khoa học Đại dương
Chúng ta biết thông thường, carbon của sinh vật sẽ di chuyển từ các sinh vật nhỏ bé, đứng dưới chuỗi thức ăn lên trên các sinh vật lớn hơn ăn chúng. Sinh vật phù du ăn vi khuẩn, cá ăn sinh vật phù du và những loài cá lớn ăn cá bé.
Thế nhưng, trong đại dương tồn tại rất nhiều những virus săn vi khuẩn, chúng được gọi chung là thể thực khuẩn. Những con virus này sẽ nhiễm vào vi khuẩn biển, chiếm giữ nguồn vật chất di truyền bao gồm carbon của chúng.
Sau khi bị nhiễm virus, vi khuẩn biển sẽ chết trước khi bị sinh vật phù du ăn. Nếu không có sinh vật nào ăn và tiêu hóa virus, sự đứt gãy carbon sẽ xảy ra khi ngày càng có nhiều carbon bị rút ra khỏi hệ sinh thái sự sống.
Sự phát hiện ra hai sinh vật đơn bào ăn virus choanozoan và picozoan đã lấp đầy khoảng trống này. Nó đã đảm bảo cho mô hình carbon mà chúng ta xây dựng trong hệ sinh thái hoạt động hoàn hảo.
"Sự có mặt của chúng đã loại bỏ virus khỏi nước, làm giảm số lượng virus có thể lây nhiễm sang các sinh vật khác, đồng thời đưa carbon hữu cơ trong các hạt virus lên cao hơn trong chuỗi thức ăn", Brown cho biết.
Đứng ở vị trí chốt chặn, các sinh vật phù du ăn virus chính là những người đảm bảo cho sự toàn vẹn của chuỗi thức ăn, ngay cả ở những ngóc ngách sâu thẳm nhất dưới đáy đại dương, nơi carbon và sự sống thường xuyên lắng đọng.
Nguồn: GenK
Ấn tượng Lễ trao giải Cuộc thi vẽ tranh “Bảo vệ môi trường trong học đường – Sân trường mơ ước của em”
“Thắp lửa trái tim” – Lan tỏa yêu thương, gần 700 triệu đồng gửi về vùng cao
Phát động Cuộc thi vẽ tranh Bảo vệ môi trường trong học đường lần thứ II
Gần 750 bác sĩ nhận bằng tốt nghiệp
Văn phòng AOSC phối hợp cùng QUATEST 3 và Vinatest thực hiện chuyên đề giới thiệu ISO 15189
Trung tâm Đo lường – Nhà máy Z176: Không ngừng hoàn thiện hệ thống quản lý theo tiêu chuẩn ISO/IEC 17025:2017
Gần 1.000 bài viết tham dự cuộc thi “Vượt lên số phận” lần thứ VII
Sắp diễn ra giải bóng đá "Báo chí đồng hành cùng doanh nghiệp"
Lan toả chương trình trồng cây "Đường xanh" đến cộng đồng
Đã có gần 18.000 người tham gia Chiến dịch "Triệu bước chân nhân ái"